Лечение зубов, а особенно протезирование — ответственная и многоэтапная задача. Данный процесс желательно осуществлять в одной специализированной клинике, чтобы доктора разной специализации могли четко взаимодействовать, выполняя шаг за шагом, постоянно согласовывая лечение между собой. Так с чего начать протезирование зубов, что ждать после и чем завершится лечение? Структура состоит из 4 этапов:
- терапевтический;
- хирургический;
- ортодонтический;
- ортопедический.
Все эти составляющие части единого процесса взаимосвязаны, пропуск любого из них должен быть четко аргументированным (например, это может быть идеальное состояние ротовой полости и зубов). Временные рамки ортодонтического и ортопедического этапа немного больше, чем у остальных.
Общие сведения
Подготовка к выполнению протезирования – это выполнение комплекса первостепенных мероприятий, направленных на обеспечение функциональности зубочелюстной системы и ее дальнейшего здоровья.
Она включает разностороннее исследование и лечение ротовой полости человека для получения благоприятных результатов, и предотвращения неприятных осложнений.
Процедура начинается с осмотра и консультации врача для определения приблизительного объема необходимых подготовительных мероприятий.
На проведение всех манипуляций, входящих в подготовительную процедуру, очень часто уходит намного больше времени, чем на само протезирование.
В некоторых ситуациях весь курс подготовки может затягиваться до полутора-двух лет. Это обычно происходит, если требуется удалить все разрушенные единицы, оставшиеся корни и исправить брекет-системой положение зубов.
Принимая во внимание, что протезирование и сама подготовка к нему – это сложные и длительные процедуры, стоматологи советуют проводить их в условиях одной клиники.
Согласованные и слаженные действия специалистов разных направлений во время лечения улучшают качество выполненной работы, уберегают от всевозможных ошибок и сокращают общую продолжительность лечения.
Когда показано полное протезирование
Отсутствие всех зубов в ряду в стоматологии называется адентия – именно это явление и есть главным показанием к полному протезированию. Если на челюсти осталось несколько зубов, врач также может посоветовать провести полное, а не частичное протезирование. Почему именно этот вариант предпочтительнее? Ведь можно просто поставить один или два моста, это обойдется дешевле.
Проблема в том, что при отсутствии зубов в ротовой полости изменяется все. Костные ткани начинают деформироваться, а при отсутствии жевательных нагрузок – атрофироваться. Все это сказывается на здоровье и внешности пациента так же негативно, как и отсутствие зубов вообще. Потому имеет смысл один раз потратить время и деньги, но выполнить полное протезирование – результата хватит на всю оставшуюся жизнь.
Виды
Условно весь подготовительный к протезированию период разделяется на следующие виды:
- Терапевтический.
- Ортодонтический.
- Хирургический.
Каждый из них имеет свою значимость и пропустить какой-то из этапов специалист может, но, только убедившись, что у пациента отсутствуют соответствующие показания для его проведения.
Обычно самыми длительными и сложными являются действия врача-ортодонта, поскольку именно ортодонтическое лечение предполагает применение долговременных методик и корректирующих конструкций.
Терапевтическая
Подразумевает выполнение двух главных мероприятий — санацию ротовой полости и депульпирование зубов. Также, если на это указывают показания, проводится несколько дополнительных процедур — общая терапия зубов и пародонтальных тканей, подготовка к размещению протезных конструкций опорных единиц.
Санация — обязательный этап
Выполняется с целью создания благоприятной среды для протезирования посредством ликвидации воспаления в организме и непосредственно в полости рта.
Профессиональная стоматологическая чистка
Отложения на зубах, образовавшиеся от разложения остатков еды и минеральных соединений, являются безупречным субстратом для появления в ней патогенной микрофлоры.
Сформировавшийся плотный налет невозможно убрать без использования специальных приспособлений и аппаратов. Для предупреждения проявления кариеса и иных патологий под коронкой и проводится чистка.
На этом же этапе стоматолог дает консультацию по вопросам качественного выполнения гигиены, что в дальнейшем обеспечивает максимальную по длительности эксплуатацию и функционирование протезной конструкции после ее размещения.
Лечение кариеса
Чтобы обеспечить качественное и долговременное протезирование, необходимо также вылечить кариес, и заменить новыми, все давно стоящие, пломбы.
Эти мероприятия связываются с тем, что не леченое заболевание провоцирует неприятный запах, ослабляет местный и общий иммунитет, становится причиной боли, общего недомогания и слабости, чувствительности к внешним раздражающим факторам и других осложнений.
Лечение пародонтальных тканей
Важно также понимать, что до установки протезов нужно устранить все выявленные патологии пародонта. О том, что имеются такие проблемы, можно понять по неприятному, идущему из ротовой полости, запаху, расшатанности большей части зубов, кровоточивости десенных тканей, существованию пародонтальных карманов.
Для устранения этих состояний проводится шинирование неустойчивых единиц, противовоспалительная терапия.
Важно! Если пренебречь лечением пародонтита и установить протез при наличии данной болезни, через время, когда заболевание приобретет тяжелую форму, зубы-опоры не смогут надежно удерживать протезную систему.
Препарирование
Извлечение нерва из единицы, подлежащей протезированию, выполняется только по медицинским показаниям, а именно:
- перед удалением большого объема тканей под установку коронки;
- сильном наклоне, когда надо образовать параллельность зубов-опор под протез;
- если есть необходимость сильного укорочения коронковой части, деформирующей окклюзию.
После манипуляции каналы данной единицы обязательно пломбируются.
Подготовка зубов-опор
Опорными называют те единицы, которые будут удерживать на себе протезное изделие. Для этой цели на них будут размещены особые коронки, которые на себя будут принимать всю нагрузку при жевании и тяжесть самих протезов. Чтобы зубы-опоры в полной мере выполняли свои задачи, их здоровье должно быть идеальным.
Для предотвращения в дальнейшем развития кариеса и воспаления, обеспечения правильного распределения нагрузки, специалист так подготавливает опорные единицы, чтобы прилегание между ними и поставленной коронкой было очень плотное.
Также обтачиваются опорные элементы под параметры коронки, и проводится их депульпирование (только при необходимости).
Хирургическая
Оперативное вмешательство проводится в крайних случаях, когда у пациента имеются тяжелые патологические изменения, препятствующие изготовлению и размещению протезной системы.
Данный этап подготовки включает такие мероприятия:
- Экстракция «мертвых» и не подлежащих восстановлению жевательных элементов и их корневых систем. Если коронковая часть сильно разрушена, но на корне нет симптомов воспаления, он оставляется и используется как опора для коронок и мостовидных систем.
- Иссечение гипертрофированных или лишних мягких десенных тканей, слизистой, рубцов, болтающихся складок и гребней, размягченных твердых тканей.
- Шинирование — укрепление шатающихся зубов путем объединения нескольких единиц или сразу всех в один блок для их обездвиживания (иммобилизации) с помощью особых ортодонтических аппаратов — шин.
- Резекция многокорневых единиц – удаление корней в молярах, неподдающихся терапии. При этом корень с пораженными пародонтальными тканями удаляется, а сохраненная часть используется после, как опора под несъемную систему.
- Удаление мешающих протезированию экзостозов (выростов) и остеофитов (разрастания костной ткани, локализованных обычно на месте вырванного зуба или в области перелома челюсти).
- Трансплантацию, т.е. пересадку ретинированных или находящихся вне дуги единиц в искусственно созданную лунку.
- Альвеопластику – операцию по реконструкции формы и размеров альвеолярного отростка при атрофии.
- Увеличение глубины преддверия рта, пластика на уздечке.
- Исправление тяжелых зубочелюстных патологий.
- Вживление имплантатов, если предполагается размещение несъемного протеза.
- Остеопластика, т. е. удаление или наоборот, наращивание челюстной кости.
- Процедура синус-лифтинга для подъема дна верхнечелюстной пазухи и образования места под имплант.
Важно! После проведения всех необходимых хирургических манипуляций требуется не менее двух месяцев на восстановление, и только потом можно будет переходить к зубопротезированию.
В каких случаях оправдана установка шовных искусственных коронок и их конструкционные особенности.
Этот материал посвящен восковому моделированию зубов.
Ортодонтическая
Ортодонтические предварительные процедуры подразумевает проведение:
- коррекции неправильного положения тех жевательных элементов, на которые будут опираться протезные конструкции;
- исправления формы зубного ряда;
- устранения чрезмерного наклона и кривизны зубов;
- закрытия больших межзубных промежутков;
- вытягивание ретинированных (непрорезавшихся) элементов, которые могут стать опорными;
- создание добавочного места в зубном ряду для размещения протеза;
- исправления веерообразного расположения зубов.
Во время ортодонтического этапа особое внимание обращается на вторичную деформацию тех единиц, которые располагаются рядом с удаленными.
Для осуществления названых мероприятий, в ортодонтии изготавливаются под каждого пациента специальные капы и пластинки.
Эти приспособления обеспечивают правильное перемещение тех зубов, которые выдвинулись в направлении, ампутированной ранее единицы, создают место для размещения протеза.
Наряду с капами и пластинками могут использоваться брекет-системы. Они необходимы для коррекции неправильной окклюзии, лечения некоторых дефектов зубочелюстной системы и смещения височного сустава на нижней челюсти.
Важно! Длительность ортодонтического лечения в рамках подготовки к протезированию зависит от тяжести и количества выявленных дефектов, и может по времени занять от 3—4 месяцев до трех лет.
Непосредственная подготовка
Специальная терапевтическая подготовка предполагает:
- Экстирпация пульпы проводится по показаниям:
- перед установкой коронки,
- значительный наклон зуба,
- необходимость укоротить коронковую часть зуба.
- Повторная пломбировка корневых каналов показана при:
- неудовлетворительна пломбировка каналов была виявлена при рентгенологическом обследовании,
- длительное отсутствие пломбы.
Специальная ортопедическая подготовка предполагает:
- Нормализация межальвеолярной высоты.
- Коррекция зубочелюстных патологий.
- Исправление деформации окклюзивной поверхности зубов.
Опорные зубы предназначены для фиксации и удерживания протеза. Они принимают на себя не только вес протеза, на них припадает большая часть жевательной нагрузки. Поэтому их состояние должно быть идеальным.
Главная задача стоматолога на этом этапе – подготовить зуб так, чтобы контакт между ним и коронкой был максимально плотным. Между ними не должно быть просветов, так как под коронкой будет скапливаться инфекция в случае ее неплотной посадки.
Для фиксации коронки зуб обязательно обтачивают на толщину ее стенок, а также депульпируют. Обязательно ли удалять нерв из опорного зуба? Стоматологи расходятся о мнениях, но в большинстве случаев опорные зубы депульпируют.
Стоимость
Общая стоимость подготовки к протезированию складывается из тех процедур, которые будут выполнены на каждом из подготовительных этапов.
Точную цифру назвать очень трудно, поскольку разброс цен на одну и ту же манипуляцию достаточно велик.
К тому же, одна и та же манипуляция для одного пациента будет обязательна, а для другого – ее можно не проводить ввиду удовлетворительного состояния полости рта.
Если рассматривать каждый этап по отдельности, то примерная стоимость терапевтической подготовки выглядит примерно так, как представлено в таблице.
| Виды услуг | Стоимость в рублях |
| Консультация | От 0 до 300 |
| Исследование (рентгенография) | От 800 |
| Предварительное лечение (с перепломбировкой) | От 1 000 до 5 000 |
| Депульпирование | От 1 000 |
| Лечение кариеса, пульпита, периодонтита | До 10 000 |
| Профессиональная чистка | Около 1 500 |
| Препарация зуба под протез | От 400 |
За услуги хирурга-стоматолога пациенту придется отдать в среднем:
| Вид услуги | Стоимость в рублях |
| Экстракция | От 1 200 |
| иммобилизация стекловолокном группы из 6 фронтальных единиц | Около 6 500 |
| Группы из 3 единиц | От 3 500 |
| Коронка из металлокерамики | От 6 000 (за 1 ед.) |
| Безметалловые коронки | Около 19 000 (за 1 ед.) |
| Резекция | От 1 800 |
| Удаление экзостозов и остеофитов | От 600 (за 1 ед.) |
| Трансплантация | От 1 500 |
| Альвеолопластика (двухсторонняя) | Около 20 000 |
| Остеопластика | От 5 000 |
| Синус-лифтинг | От 15 000 |
К этим цифрам стоит добавить стоимость анестезии, используемых при манипуляциях препаратов и материалов.
Стоимость ортодонтического лечения определить достаточно трудно, поскольку она зависит от сложности клинического дефекта, метода, используемого для его исправления и длительности коррекции. Но чем сложнее патология, тем дольше идет ее исправление, а значит, возрастает общая цена.
Важно! Полный объем манипуляций, и их конечная стоимость определяются во время первого посещения стоматолога, зависят от общего состояния ротовой полости и сложности выявленных патологий.
Хирургический этап
Хирургический этап предполагает следующие процедуры:
- удаление зубов и корней, которые не подлежат лечению (например, с кистой, гранулемой),
- удаление гипертрофированных участков слизистой оболочки,
- гингивопластика (наращивание десны),
- костная пластика (это наращивание костной ткани при ее атрофии),
- вживление имплантов (которые будут выступать опорой для протезов).
После хирургического этапа следует восстановительный период, который длится около двух месяцев. Только после этого можно смело приступать к протезированию.
Хирургический этап — удаление всех мертвых зубов и корней.
Отзывы
Гарантировать устойчивый и длительный результат протезирования сможет только полная и качественная подготовка рта.
Ее ценность подтверждает тот факт, что у людей, прошедших протезирование с неполной подготовкой либо без нее, ранние или отдаленные осложнения развивались в 100% всех случаев.
Фиксация частичных съемных протезов
Фиксация – один из важнейших вопросов, от решения которого во многом зависит срок службы и комфорт использования. Если для удерживания полных съемных конструкций применяются крема и клеи, то частичные крепятся к зубам, являющимся опорными. Основные способы крепления:
- Кламмеры – крючки, которыми изделие удерживается за челюсть. Они могут быть металлическими или силиконовыми, наиболее надежными считаются первые, но они нарушают эстетичность, если попадают в зону улыбки.
- Аттачмены – миниатюрные замки, состоящие из двух частей: одна располагается на коронке, покрывающей опорную единицу, вторая на протезе. Обе части защелкиваются, образуя надежное соединение. Применяется несколько видов аттачменов, самый распространенный – шаровидные, их патрица имеет форму шарика.
- Телескопические коронки. На опорный зуб надевается металлическая коронка, на нее фиксируется паз, расположенный на протезе. Достаточно сложная модель, в России применяется редко.
В конструкции мостовидных протезов, коронок, виниров есть все необходимое для надежной фиксации. Изделия делают по индивидуальным слепкам, поэтому они плотно прилегают к опоре, обеспечивая правильную посадку и удобство.
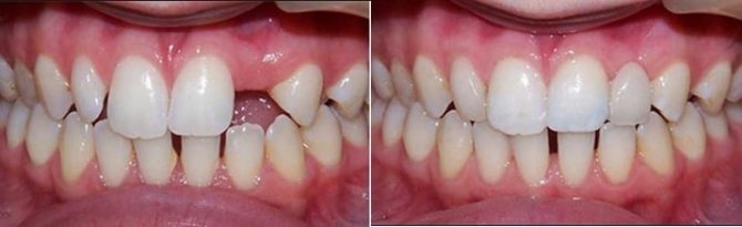
Препарирование
Препарирование зубов — один из важных этапов в протезировании. Его суть заключается в обточке зубов для создания большего пространства для имплантов. Для этого используются высокоскоростные алмазные боры. Чтобы избавиться от неприятных ощущений наносится местный анестетик.
Зубы обтачивают перед протезированием коронками, мостами
Это профилактика вторичного кариеса под протезом.
Часто для проведения процедуры необходима укладка специальной нити вокруг зуба. Она позволяет провести препарирование в пришеечной зоне без травмирования десны.
В среднем манипуляция длится от 30 минут до нескольких часов. При больших объемах работы препарирование проводится за несколько приемов. Подготовленные зубы прикрываются временными коронками.
Ортопедический
Спустя 2 недели после установки основы под коронку – абатмента проводится протезирование. Имплантолог совместно и ортопедом полностью воссоздают анатомическую целостность зубного ряда.
На искусственный корень могут быть установлены следующие виды протезов:
- несъемные;
- съемные;
- условно-съемные;
- комбинированные.
Снятие слепков
Для того чтобы мастера смогли изготовить индивидуальный протез для ротовой полости пациента, стоматологи при помощи специального материала снимают слепки.
Прежде чем произвести окончательную установку тела искусственного зуба, проводится неоднократная примерка конструкции.
В случае необходимости ее параметры подгоняются до тех пор, пока протез перестанет вызывать чувство дискомфорта у пациента. В среднем изготовление конструкции занимает от 2 до 4 недель времени.
Установка протеза
Тонкости процесса установки протеза зависят от его вида. Одиночные коронки или 2—3 единичные мостовидные конструкции крепятся сразу на абатмент при помощи адгезивного материала.
Установка протеза, который может заменять практически весь зубной ряд, осуществляется при помощи специальных замков, которые встраиваются в коронки.
Однако наиболее дешевый способ фиксации – вкручивание тела зуба в имплант за счет винтов, вживленных в протез.
Реабилитационный период
Имплантация – методика протезирования, которая предусматривает наличие реабилитационного периода. Зачастую, организм пациента восстанавливается в течение 5 месяцев.
Все это время необходимо соблюдать определенные правила:
- проводить профилактические осмотры у стоматолога с периодичностью, которую назначит имплантолог;
- во время гигиенических процедур следует использовать щетку средней жесткости и совершать минимальное давление щетинок на участок, подверженный имплантации;
- запрещается применение асептических ополаскивателей и вощеной зубной нити;
- прием твердой пищи должен быть сведен к минимуму.
Коронки
Это настоящие «рабочие лошадки» стоматологической ортопедии, без которых не обходится подавляющее большинство методик протезирования. Представляют собой полые микропротезы, имитирующие видимую часть зуба.
Коронки используются:
- В микропротезировании – ими накрывают сильно разрушенную единицу с целью защиты, восстановления жевательной и эстетической функций.
- При изготовлении мостовидных и бюгельных протезов.
- При протезировании на имплантах или культевой вкладке.
Выполняют коронки из таких материалов:
- металлов (зуботехнические и драгоценные сплавы);
- металлопластмассы (металл облицованный пластмассой);
- металлокерамики (металл облицованный керамикой);
- литой и прессованной керамики;
- диоксида циркония.
Наиболее недорогой, прочный, но при этом малоэстетичный вариант – металл. Средний по стоимости, прочный и эстетичный – металлокерамика.
Прочный и внешне безупречный – диоксид циркония и прессованная керамика Е-мах. Их стоимость самая высокая.



