В прошлом веке на вопрос, больно ли удалять корень зуба, если коронка полностью разрушена, многие стоматологи дали бы утвердительный ответ. Боль в процессе и после процедуры, осложнения от анестезии и неприятные ощущения преследовали многих пациентов. Но сегодня ситуация изменилась – больной зуб и его корень можно вырвать абсолютно безболезненно.
Показания
Специалисты выделяют следующий ряд основных показаний:
- Переломы зубов различной этиологии.
- Развитие воспалительных процессов.
- Потеря целостности зуба (он развалился, сломался, сгнил).
- Третий уровень подвижности корня.
- Аномальные расположения разрушенных зубов.
- Проявление характерной симптоматики воспаления.
Важно! Экстракция корня зуба, который разрушился, является обязательной манипуляцией. Он является основным рассадником инфекции в ротовой полости. Наличие гнилых корней на верхушке провоцирует образование гранулемы и кисты, которая впоследствии способна перерасти в злокачественную опухоль.
Применение элеваторов
Для того чтобы достать корень зуба элеватором, инструмент помещают между корнем и альвеолами. Если нужно, производится небольшое вывихивание. Затем корень фиксируется и отделяется от десны.
Как проводится анестезия
Для анестезии подбирается препарат с учетом возраста и индивидуальных особенностей пациента. Укол делается проводниковым методом. Специалист помещает лекарство по ходу нервных окончаний. Препарат блокирует нервные импульсы, у пациента появляется чувство заморозки, и он перестает испытывать боль.
Удаление корня под общим наркозом
Современная стоматология позволяет осуществлять любые манипуляции с зубами, погружая пациента в сон с помощью общего наркоза. Данный метод используется, если пациенту в силу каких-то причин нельзя провести обычную анестезию или она не оказывает на него должного эффекта. Нередко к общему наркозу прибегают и при патологическом страхе лечения зубов, в детском возрасте и при наличии фобий.
Показания к лечению зубов под общим наркозом:
• очень большой объем и особая травматичность предстоящих манипуляций;
• выраженный рвотный рефлекс при прикасании к слизистой рта;
• пациент имеет психические нарушения;
• аллергия на препараты для анестезии;
• фобии и панический страх перед стоматологом;
Перед проведением общего наркоза больной обязательно сдает все анализы и проходит консультацию анестезиолога. Только после результатов обследования врач принимает решение о возможности использования данного метода вместо традиционной анестезии.
Подготовка к удалению
На данном этапе проводится:
- Полноценное обследование ротовой полости и в особенности зоны с остатком корня. Делается панорамный снимок челюсти, проверяются мягкие ткани пародонта на наличие воспалительных процессов и нагноения.
- Врачом составляется план лечения.
- Подбирается подходящее обезболивающие средство.
- Подготавливается весь комплект стерильного инструментария.
- Гигиеническая обработка полости рта. При необходимости снимается зубной налет и камень.
- Осуществляется полоскание ротовой полости раствором хлоргексидина либо элюдрила.
- Проводится обезболивание десны.
- При наличии показаний проводится надрез десны с последующим извлечением зубного корня.
Справка! Правильная и полноценная подготовка к операции является залогом успешного ее проведения, и исключающее впоследствии развитие осложнений.
Стоимость процедуры
Удалить корень необходимо при:
- Полном разрушении коронковой (наддесневой) части единицы, затрагивающем корневую систему.
- Обширном гнойно-воспалительном процессе на корне: кисте, абсцессе.
- Продольном осевом переломе.
- Предыдущей некорректной экстракции. Из-за халатности врача в лунке остаются фрагменты. Если их не изъять, разовьется воспалительный процесс. В дальнейшем он перейдет на расположенные рядом ткани.
При полном разрушении коронковой части зуба его корень нередко подлежит удалению.
Важно! Нередко пациенты сами усугубляют ситуацию. Они запускают кариес, не обращаются в клинику для замены выпавших пломб или восстановления сломанных стенок. Со временем остается так называемый «пенек».
Гниющий участок легко определяется визуально. Дополнительно возникают следующие симптомы:
- дергающие, пульсирующие боли;
- острая боль во время механического воздействия: надавливания, прикусывания, пережевывания пищи;
- гиперемия десны;
- кровотечение;
- неприятный запах изо рта;
- гнойный процесс;
- повышение температуры.
Если появился один или несколько признаков, разрушенные единицы должны удаляться.

В некоторых случаях возможно неполное удаление корней зуба – резекция. Такая операция проводится, когда поражена только верхушка корня: периодонтите, небольших кистах, гранулемах. Причем нередко коронковая часть остается целой.
Решение о том, стоит ли вырывать корень зуба, принимает специалист. Предварительно проводится обследование. Чаще всего корень разрушенного зуба имеет мёртвый нерв. По этой причине больших проблем он не доставляет.
Основные показания к удалению:
- ноющие и резкие поддёргивающие боли;
- небольшая отёчность дёсен возле корня;
- воспаления;
- разрушение корня;
- киста.
Как правильно удалить корень зуба, если зуб разрушен? Подготовительный процесс включает в себя предварительный осмотр полости рта и самого корня. На этой фазе специалист подбирает необходимое обезболивающее в зависимости от возраста, наличия тяжёлых заболеваний, аллергии.
Врач подбирает инструмент, которым будет удобнее работать. Перед операцией нужно обследовать дёсны на наличие воспаления. Это поможет составить чёткий план действий. Стоматолог выполняет операцию в перчатках и маске.
Если пациенту предстоит тяжёлая операция, дополнительно проводится дезинфекция лица. Зачастую перед удалением проводится надрез десны, особенно в том случае, если корень находится глубоко в лунке.
Вначале стоматолог в обязательном порядке проводит диагностическое обследование, осматривая корень зуба и ротовую полость пациента. Особое внимание обращается на состояние десен и наличие воспалений. Опрос и сбор анамнеза позволяет подобрать наилучший способ анестезии, который не даст аллергической реакции.
Затем врач, исходя из состояния корня зуба, выбирает метод удаления и подготавливает инструмент, которым будет пользоваться.
В десну в область пораженного зубного корня делается инъекция с анестетиком, и дальнейшие процедуры по удалению корня выбранным методом проводятся после того, как анестезия подействует.
После того, как корень зуба удален, полость рта обрабатывается антисептиком, затем на обработанное место накладывается противовоспалительное средство. Если производился разрез десны, то необходимо наложить швы.
Не всегда можно удалять разрушенный зуб. Существуют противопоказания, при которых экстирпация способна нанести вред общему состоянию.
Удаление не рекомендуется в следующих ситуациях:
- первые недели после инфаркта миокарда, а также при сопровождении его острыми приступами стенокардии или сердечной астмы;
- гипертонический криз;
- любые заболевания сердечно-сосудистой системы в острой стадии;
- расположение корня удаляемого зуба в зоне роста опухоли;
- нахождение зуба в месте разрастания гемангиомы;
- при воспалительных заболеваниях слизистых оболочек, таких как стоматит, гингивит, удаление необходимо отложить до ремиссии процессов.
Перед тем как врачи удаляют заросший корень зуба, они обязательно проводят опрос пациента относительно того, какими хроническими заболеваниями он страдает, были ли у него ранее случаи развития аллергии. Такой подход позволяет выявить все возможные противопоказания и обезопасить жизнь пациента.
На этапе подготовки к удалению корня производится осмотр челюстно-лицевой области и непосредственно причинного зуба, оценивается общее состояние стоматологического здоровья, анализируются дентальные снимки, а в некоторых случаях и анализы крови.
Очень многие пациенты интересуются у хирурга-стоматолога — больно ли удалять корень зуба? Процедура проходит совершенно безболезненно при грамотном и адекватном обезболивании, ведь перед тем, как удаляют корень зуба, делают укол анестезирующего препарата.
Инструменты: щипцы, бормашина, элеваторы
| Название | Описание процесса | Применение |
| Щипцы | С их помощью берется часть зуба, которая выступает с обеих сторон над краем альвеолы. Для этого предварительно необходимо отделить пародонт от поверхности корня либо отслоить слизистую оболочку от границ альвеолы. | Для проведения манипуляции на парной челюсти применяется инструмент, у которого прямые концы. Щипцами с широкими штыковидными лопастями проводится удаление корней любых зубов, расположенных на верхней челюсти. Нижняя же челюсть обрабатывается с помощью клиновидных щипцов. |
| Элеватор | Начальная стадия оперативного разрешения осуществляется путем проведения синдесмотомии. После в полость между стенками лунки на пародонте и самим телом корня вводится элеватор. Одним из основных показаний к его применению является глубокое расположение корня в альвеоле, что не дает возможности провести его экстракцию с помощью щипцов. | |
| Бормашина | Заключается в удалении бором наружной стенки альвеолы с последующим извлечением корня щипцами. |


Бормашина Удаление корня зуба является сложной стоматологической манипуляцией, требующей высокого профессионализма от стоматолога-хирурга. Правильный выбор инструментария для его извлечения является залогом успешной операции.
Обобщенная схема удаления зубов
Процесс удаления любого зуба включает такие этапы:
- Обследование и сбор анамнеза (аллергический статус, сведения о состоянии здоровья и зубочелюстного аппарата).
- Подготовка операционного поля: обработка места укола, полоскание рта антисептиком.
- Анестезия.
- Отслоение десны от зуба с помощью гладилки.
- Расшатывание зуба щипцами.
- Извлечение зуба из лунки.
- Обработка лунки антисептиком.
- Остановка кровотечения с помощью тампонады.
По такой схеме проводится простое удаление. В некоторых ситуациях, к примеру, при вырывании зуба мудрости или сильно разрушенного коренного зуба, требуется проведение сложной экстракции. Ее основное отличие в том, что помимо щипцов, стоматолог применяет бормашину для выпиливания костной ткани или распиливания корня на части, долото, молоток и другие стоматологические инструменты.

Особенно сложным бывает избавление от зуба мудрости. Из-за нахождения в заднем квадранте челюсти доступ к нему осложнен. При анатомически неверном расположении или искривленных корнях, которые часто встречаются у третьих моляров, стоматолог бывает вынужден сделать надрезы на деснах, выдернуть корень по частям, а затем наложить швы.
Методы экстракции
В стоматологической практике для удаления зубного корня используют следующие методы:
- Гемисекция. Используется прежде всего на молярах нижней челюсти. Удаляется больной корень и коронка, которая к нему прилегает, либо часть зуба, расположенная сверху. Последующим этапом процедуры будет пломбирование корней и зубов. Такая методика исключает развитие патологий.
- Ампутация. Используется при необходимости хирургического вмешательства на верхней челюсти. Изначально проводится отделение видимого участка пародонта, бормашинкой корень срезается и посредством щипцов извлекается из альвеолы. Заканчивается манипуляция заполнением лунки остеозамещающим материалом.
- Цистэктомия. Предусматривает иссечение кисты на корневой части зуба. Процедура начинается с процесса вскрытия верхнего участка корня. После удаления новообразования, освободившееся пространство заливается материалом медицинского предназначения.
Больно ли?
В современности, практически все процедуры проходят под действием анестезии. Однако, многих пациентов, которые хотят удалить зубной корень, мучает вопрос: больно ли это? Что я буду чувствовать в процессе?
В таком случае резать корень нет необходимости, врач может взяться за остаток зуба.
Перед операцией делается местная анестезия путем укола с обезболивающим препаратом. Если над корнем сверху имеются остатки, за которые можно ухватиться щипцами, резать десну никто не будет. Даже в случае разреза никаких болезненных ощущений пациент не почувствует. Намного больнее будет, когда корень воспалится, во рту появится инфекция, в последствие распространившаяся на остальные зубки.
В целом, удалять зубной корень не больнее чем целиковый зуб. В первые часы или даже дни после удаления будут неприятные ощущения, приносящие дискомфорт, но эту проблему решают обезболивающие таблетки.
Обязательно относитесь к выбору специалиста со всем вниманием. Опытный врач проведет процедуру безболезненно и без опасных последствий.
Дальнейшая обработка альвеолы
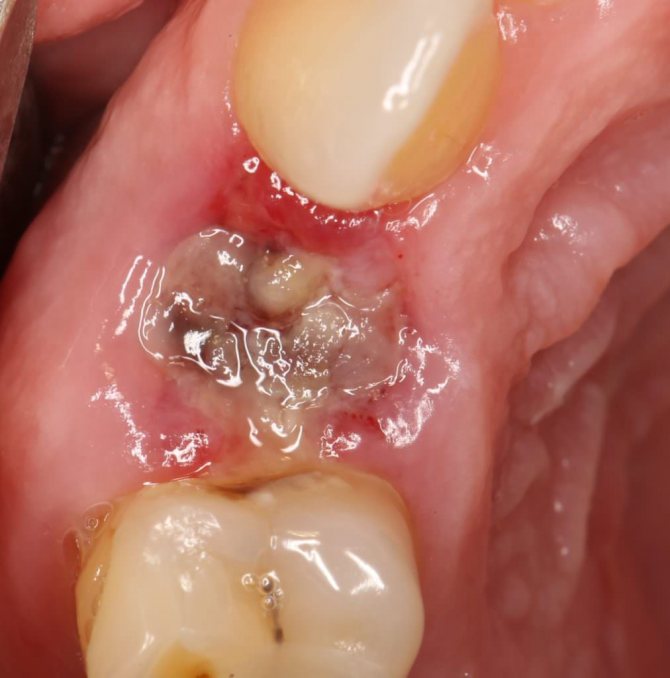
В норме в лунке должен образоваться кровяной сгусток.
После экстракции корня обязательным правилом является тщательная обработка альвеолы. В этих целях лунка промывается специальными антисептиками, с последующим прикладыванием к ранке специальных противовоспалительных средств.
Они используются не только в терапевтических целях, но и в профилактических несмотря на наличие воспалительного процесса в лунке.
Их применение способствует более быстрому заживлению ранки и не допускает развития воспалений.
Удаление или лечение?
Если от зуба остался только корень, нужно решить вопрос о возможном его восстановлении. Следует посетить врача-стоматолога, который первым делом выполнит рентгеновский снимок для выявления воспалений, кист, других патологий. Если они есть, в данном случае имеет смысл удалить корень. Процедуру проводят после обезболивания, затем выполняют санацию поврежденной лунки и десны. Зачастую после удаления корня назначается курс антибиотиков или противовоспалительных препаратов комплексного действия для снятия болевого симптома и воспаления. В первые три дня после процедуры для снятия боли к десне можно использовать лед. Предотвратить воспаление после удаления корня помогут полоскания настоями эвкалипта, ромашки.
В некоторых случаях воспаление можно вылечить, не удаляя корень зуба. Для успешной терапии острой стадии процесса потребуется не менее трех посещений стоматолога. После анестезии врач высверливает всю пораженную и отмершую пульпу, корень обрабатывается антисептическим раствором. Через 2-3 дня стоматолог промывает антисептиком корневые каналы и ставит лекарство. При третьем посещении, если нагноение и инфекция не распространились далее, врач решает вопрос о восстановлении корня и наращивании зуба. Если у корня образовались гранулы с гноем, они могут вызвать появление свища или кисты на поверхности десны. В этом случае успешное лечение и восстановление зуба возможно только по прошествии нескольких месяцев.
Особенности экстракции корня зуба на разных челюстях
Существуют небольшие различия по методикам и видам инструментария, используемых при манипуляции на разных челюстях.
На верхней – для экстракции коренных зубов применяются щипцы штыковидные. Стоматологическими клещами с-образной формы проводят экстракцию резцов и клыков. Для этих целей осуществляются вращательные движения клещами, что обеспечивает минимальное повреждение околозубных тканей. Если же провести экстракцию корня зуба стоматологическими клещами невозможно, тогда применяется бормашинка.
Отклоненный корень удаляется после предварительного распиливания дна полости зуба. После бормашинкой с шаровидным наконечником в межкорневой спайке создается необходимая полость для продольного распиливания фурссорной бормашинкой дна зуба. Далее в подготовленной полости с помощью элеватора и штыковидных стоматологических клещей вывихом достается небный корень.
Как происходит удаление разрушенного зуба
Процесс удаления зуба – простая стоматологическая операция. Сложность возрастает, когда нужно удалить корень зуба, который полностью разрушен. Факторы, требующие вмешательства опытного специалиста:
- небольшой размер оставшейся коронки;
- состояние окружающих тканей;
- расположение оставшихся твердых тканей зуба под верхним краем десны;
- дефекты десен, корней.
Влияет на сложность операции и принадлежность позиции верхней или нижней челюсти. На верхней челюсти стенки лунок длиннее и толще, соответственно, зубы удаляются из них с большим трудом – для выполнения манипуляции нужна высокая квалификация дантиста.
Зубы мудрости, от которых остался только корень, удаляют так же, как и обычные моляры, но у некоторых пациентов заживление после такого вмешательства проходит очень болезненно.
Обследование и подготовка
Процедура начинается с тщательного обследования и подготовки больного. При его первом обращении в клинику врач сделает рентген и произведет осмотр ротовой полости.
Задачи доктора:
- определить состояние зуба, оценить масштаб разрушения;
- уточнить наличие аллергии, противопоказаний, воспаления;
- выбрать способ обезболивания;
- составить план операции;
- подготовить инструменты.
В качестве инструментов для удаления гнилого корня зуба используют бормашину, щипцы, набор элеваторов (фото).
Обязательное условие – гигиеническая обработка расположенных рядом тканей. Вырывание возможно только после снятия камней и налета с окружающих операционное поле коренных зубов, резцов или клыков. Непосредственно перед экстракцией ротовая полость обрабатывается раствором Хлоргексидина.
Обезболивание
Бывают случаи, когда дентин разрушается постепенно, без воспаления, без появления гнили. В таких ситуациях возможно безболезненное удаление корня без применения обезболивающих средств, однако, чаще приходится использовать анестезию.
Выбор препарата осуществляется с учетом:
- возраста;
- аллергического статуса;
- наличия соматических заболеваний;
- индивидуальной непереносимости лекарственных препаратов;
- наличия хронических заболеваний: эпилепсии, сахарного диабета;
- сложности предстоящей операции.
Обо всех отклонениях пациент должен предупредить стоматолога до начала процедуры. В большинстве случаев корень зуба удаляют при местной анестезии – один или два укола для резцов, от 2 до 4 уколов в десну для моляров. Но если разрушились два зуба, или предстоит вскрытие челюсти, больной получает общий наркоз – будет спать, пока врач не закончит выдергивать зуб.
Особенности обезболивания зуба с гнилым корнем
Обезболивающий укол делается в место проекции зубных корней. Но если лекарство будет введено в область гнилого участка, оно может не подействовать, и человеку будет больно в процессе экстракции.
Лечение пациентов с гнилыми корнями выполняется в два этапа. В первый визит стоматолог обезболивает десну, препарирует ее и очищает от гноя. Во время второго посещения анестезия выполняется повторно, и врач убирает корень, который сгнил внутри десны.
Удаление
Как удалить зуб, если остался только корень, решает врач. Обычно начинают с применения щипцов. Даже если разрушенные корни остаются под десной, лунки полностью не зарастают – стоматолог может аккуратно подцепить остатки твердых тканей и легко их вырвать.
Если зуб раскрошился до самого основания, его вырывают элеватором. Введя инструмент между десной и дентином, доктор давит на ручку и совершает вращательные движения небольшой амплитуды. В результате волокна пародонта сдвигаются, а корень выдавливается из лунки.
Бормашина используется, когда перед удалением нужно раздробить твердые ткани коренного зуба. При правильно выполненной анестезии такая процедура проходит безболезненно, неприятные ощущения возможны лишь тогда, когда десна уже заживает.
Снятие воспаления
При удалении гнилого корня довольно часто обнаруживается воспалительный процесс. Чтобы ранка благополучно заросла и не загноилась, принято делать обработку антисептиком. Но одна обработка не обеспечит должной профилактики, поэтому в свежую лунку закладывают противовоспалительный препарат. С ним лунка заживет быстрее, а у пациента будет меньше шансов заболеть альвеолитом.
Наложение швов
Для извлечения корневой системы врач отделяет и поднимает лоскуты мягких тканей, прикрепить их обратно можно только посредством наложения швов. Стягивать нитями края лунок принято при двойном или тройном удалении, когда препарированию подверглась значительная часть десны. Делается это для того, чтобы пострадавший участок быстрее зарос и не причинял больному дискомфорт.
Осложнения
Манипуляции по экстракции корней зуба является достаточно травматичной и сложной. Поэтому часто по причине физиологических особенностей организм, либо непрофессиональных действий хирурга могут возникнуть следующие сложности после проведения данной манипуляции:
- Инфицирование рядом расположенных зубов и мягких тканей.
- Распространение воспаления на связочный аппарат с деснами и зубами.
- Хроническое воспаление спровоцирует развитие пародонтоза и других стоматологических патологий.
- Образование флюса, флегмоны либо кисты.
- Сильный болевой синдром, который может продолжаться на протяжении нескольких суток.
- Отечность и воспаление мягких тканей пародонта и лица.
- Проявление болевых ощущений при глотании.
- Проблематичное открытие рта.
- Стремительное повышение температуры тела.
- Кровоточивость десен.
- Нагноение альвеолы.
- Потеря чувствительности участка челюсти.
Внимание! При проявлении малейших признаков появления воспаления после экстракции корня зуба следует немедленно посетить врача для коррекции терапевтического курса и предотвращения развития серьезных осложнений.
Профилактические мероприятия
Основной профилактикой возможных осложнений после удаления корня зуба является соблюдение пациентом всех рекомендаций, которые дал стоматолог. К ним относятся:
- после операции в течение 15-20 минут нужно плотно прижимать к лунке марлевый тампон, а затем его извлечь;
- в течение суток необходимо очень бережно относиться к свежей ранке, чтобы не нарушить образовавшийся сгусток. Например, придется отказаться от механической чистки зубов;
- на пять часов после хирургического удаления корня зуба следует отказаться от питья горячего и приема пищи;
Во избежание воспаления нужно при малейших подозрениях вновь обратиться к стоматологу.
Насколько болезненная манипуляция
Качественная анестезия делает процедуру безболезненной.
Многие пациенты интересуются тем, больно ли это – вырывать корни зубов? Длительность операции зависит от клинической картины состояния зуба и самого корня. Также весомую роль играет и его место расположение. В среднем, при высоком профессионализме хирурга-стоматолога, такая операция длится в течение получаса. Но, если проводится сложная экстракция корня зуба мудрости, то время такой манипуляции может затянуться на 90 минут и более.
В современно стоматологии при экстракции корня зуба применяются сильные анестезирующие препараты, под действием которых боль совсем не ощущается. Их подбирают при любом болевом пороге. Действие таких препаратов хватает не только для проведения самой операции, но и на два часа после нее. Также в зависимости от сложности манипуляции может быть проведен общий наркоз.
Важно! Подбор анестезии должен осуществляться исключительно врачом с учетом состояния здоровья пациента и его возрастной категории, а также сложности проводимой операции.
Что делать после удаления
После любого хирургического вмешательства следует соблюдать все рекомендации дантиста, а также:
- не есть в течение 2 часов после манипуляции;
- охлаждать мягкие ткани лица в проекции удаленного корня;
- отказаться от курения на два дня;
- принимать прописанное обезболивающее;
- делать антисептические аппликации;
- следить, не крошатся ли другие зубы.
Иногда после сложной экстракции стоматологи назначают пациентам антибиотики. Игнорировать это назначение нельзя – после того, как из лунки вырывают зуб, в ней образуется очаг инфекции, который можно погасить только с помощью лекарств.
Удаление корня в домашних условиях
Удаление корня зуба – сложная стоматологическая операция, проводить её в домашних условиях запрещено!
Несмотря на наличие современных методик для экстракции корней зубов, многие люди панически боятся данной процедуры. Поэтому, некоторые из них принимают решение самостоятельно в домашних условиях провести данную манипуляцию.
Для этих целей они умудряются использовать плоскогубцы. Его щипцами люди стараются ухватить основание корня и тем самым провести его удаление.
Естественно такое разрешение стоматологической патологии является недопустимым и неприемлемым, так как несет существенную угрозу здоровью:
- Происходит инфицирование раны, которое может привести к развитию сепсиса.
- Образуется травматический шок и стрессовое потрясение.
- Полностью его удалить невозможно. Оставшиеся в ранке осколки загнивают, что способствует развитию дополнительных стоматологических заболеваний.
- Высокая вероятность развития серьезных осложнений.
- Возможно появление обширного кровотечения.
Внимание! При необходимости экстракции корня зуба категорически запрещается проводить самостоятельно операцию, а следует немедленно посетить стоматологическую клинику.
Важно знать
Если удалить корень с помощью щипцов не получается, может быть использован элеватор. Это происходит, если корень расположен слишком далеко. Элеватор действует по принципу рычага. Инструмент вставляют между зубом и лункой, выкручивают корень и стараются достать его. Если корень показался на поверхности частично, его захватывают щипцам и удаляют. Инструмент, который имеет угловую форму, используется для удаления нижних корней и их остатков. Штыковидный элеватор применяют для извлечения зуба мудрости.
Бормашина используется в том случае, если внутри десны остались осколки зуба или имеются изогнутые тонкие корни. Здесь не помогут ни щипцы, ни элеватор. Процедура может длиться несколько часов.
После удачного удаления корня его промывают антисептиком, на болезненную область прикладывают специальное лекарство, которое поможет предотвратить воспаление. Слизистый лоскут необходимо уложить на место и наложить швы. Это поможет избежать возникновения кровотечений. Примерно через неделю швы снимаются. Больному назначают обезболивающие препараты и антибиотики.
Процедура удаления корня может сопровождаться следующими осложнениями:
- повреждение нерва, особенно рискуют пациенты, которые вырывают зуб мудрости;
- вывих челюсти;
- повреждение рядом располагающихся зубов;
- попадание внутрь лунки костных частиц;
- воспаление лунки;
- обильное кровотечение, которое может возникнуть из-за разрыва кровеносных сосудов.
Если провести грамотную диагностику, подобрать необходимое обезболивающее, правильно провести операцию и в дальнейшем соблюдать рекомендации врача, рана заживёт быстро, и весь процесс пройдёт безболезненно.
Чем особенна экстракция корней моляров
Экстракция корня зуба мудрости относится к ряду сложных и болезненных операций. Это связано с его расположением, которое идет вдоль продольной оси челюсти. То есть моляры растут поперек корней остальных зубов.
Поэтому удаление корня моляра необходимо проводить руками высококвалифицированного хирурга. Обязательным условием данной манипуляции является проведение рентгенографии, а в некоторых случаях и ортопантомографии. На снимке будет наглядно отображены особенности размещения корня в десне.
Врач на основании результатов диагностики подбирает максимально подходящий метод и инструменты для успешного проведения операции. Длительность такой манипуляции составляет в среднем не более полутора часов. На протяжении данного времени пациенту:
- Вводится сильнодействующая анестезия, также может понадобиться общий наркоз.
- Далее проводится надрез десенной ткани и извлечение корня зуба.
- После альвеола очищается, проводится обработка антисептиками и накладывается специальное противовоспалительное средство в ее полость.
- При необходимости устанавливается дренаж для оттока гнойного экссудата.
- При глубоких разрезах пародонта проводится наложение швов.
Совет! Для избегания развития осложнений после экстракции корня моляра на протяжении всего восстановительного периода необходимо строго соблюдать все врачебные назначения и рекомендации. Также следует в на третьи сутки пройти консультативный осмотр.
Что делать, если остались остатки зуба
- После удара. Если из-за травмы осталась половина зуба или только корень, в большинстве случаев, коронку можно нарастить. Все зависит от состояния зубов, сложности перелома, ряда других факторов.
- После удаления. Фрагменты осколков зубов могут остаться в лунке и выйти через пару дней, неделю и даже месяц спустя. А могут привести к воспалениям, температуре, осложнениям. Когда лунка свежая, есть риск спутать остаток зуба после удаления с межкорневой перегородкой и при попытке достать осколки повредить не затянувшуюся ранку, что приведет к альвеолиту. Поэтому при любых подозрениях, стоит как можно скорее обратиться к врачу за консультацией.
- После полного разрушения коронки из-за кариеса. Самое верное решение — вырвать остатки зуба, затем провести протезирование или вставить имплант. Чем дольше гнилые пеньки остаются в десне, тем негативнее последствия и дороже лечение.
Популярные вопросы
- Каковы особенности проведения операции при наличии заросших тканей пародонта?
Заросший десной корень зуба
Манипуляция осуществляется под общим наркозом хирургом в присутствии анестезиолога. Сначала проводится резекция десны, открывающая доступ к корню и его каналам. После специальным инструментом осуществляется экстракция корня и проводится медикаментозная обработка альвеолы.
- Какой врач это делает?
Оперативное вмешательство проводится хирургом-стоматологом. При необходимости для консультативного осмотра могут быть приобщены другие узкие специалисты.
- Надо ли удалять корни с кариесом или лечить?
Целесообразность терапии данной патологии определяется стоматологом в каждом случае индивидуально по результатам рентгенологического исследования. Основным показанием к экстракции корня зуба, пораженного кариесом, является его повреждение более чем на 50%. В других же случаях, проводится лечение путем установки вкладки и специальной искусственной коронки.
- Как удаляют кисту на корне зуба? Гранулему?
Удаление кисты либо гранулемы осуществляется путем проведения оперативного вмешательства. Для этого в зависимости от показаний используются следующие методики: цистэктомия, гемисекция, цистотомия, лазерная экстракция. При наличии гнойного экссудата после вскрытия гранулемы проводится дренирование.
- Нужно ли удалять корни молочных зубов?
Проводить удаление корней молочных зубов не рекомендуется. Для проведения данной манипуляции требуются весомые показания. К ним специалисты относят сильное кариозное разрушение зуба, запущенная стадия периодонтита, пульпита либо свища на десне, образование кисты на корне зуба, а также воспаление и стремительное инфицирование.
- С помощью какой методики проводится экстракция штифта из корня зуба?
Проведение данной манипуляции осуществляется с помощью ультразвука. Под его воздействием удается бережно расшатать конструкцию, не повредив при этом естественные ткани скрытой части зуба.
- Почему после проведения данной манипуляции опухла щека?
К основным причинам относятся: сложность и большая травматичность мягких тканей при проведении операции; развитие воспалительного процесса либо нагноения; непрофессиональное проведение экстракции корня, реакция организма на некоторые медпрепараты; появление гематомы вследствие хрупких капилляров.
- Как происходит экстракция корня зуба из гайморовой пазухи?
В первую очередь осуществляется перфорация ее дна с последующим проведением эндодонтического лечения. Благодаря такой методике оказывается аккуратное воздействие твердые ткани скрытой части зуба при ее экстракции.
Когда рекомендовано удалять корни
Если есть возможность восстановить зуб, лучше всего не удалять корни, а заняться лечением. Можно установить специальный штифт и установить имплантат. С помощью возможностей современной медицины можно попытаться нарастить зуб. Даже если присутствует воспалительный процесс, специалисты проведут лечебную терапию, после чего перейдут к протезированию.
Зачастую стоматологи наблюдают такую картину: у больного имеется один или несколько зубов, которые настолько разрушены, что назвать их зубами сложно, однако и на корни они не похожи. Это может произойти, когда по определённым причинам выпадают пломбы, и от зуба практически ничего не остаётся.
Консервативное вмешательство потребуется, если возникло воспаление и отёк, сформировалась киста. Если ситуация менее болезненна, можно сохранить корень, почистить каналы, попробовать поставить новую пломбу или нарастить зуб. Если пациент желает выполнить протезирование, корень придётся вырывать.
В большинстве случаев требуется удалять корень или его остатки. Рекомендуется провести стоматологическую операцию в случае, если корень начал разлагаться. Если вовремя не провести процедуру, это может привести к осложнениям.
Восстановление зуба
Если есть возможность провести реконструкцию зуба, ею нужно обязательно воспользоваться. В этом случае сначала восстанавливается корень, а уже потом выполняется наращивание зуба с использованием светоотверждаемых материалов или при помощи протезирования коронкой. Простой и быстрый способ наращивания – применение анкерных штифтов из специального сплава, который не подвергается коррозии. Всего существует 20 разновидностей, они отличаются длиной и диаметром, это позволяет подобрать необходимый вариант в большинстве случаев. Штифты крепятся на специальный комбинированный материал, который не растворяется во влажной среде и хорошо фиксируется на зубных тканях. Если разрушенный зуб имеет два-три корня, для его восстановления применяются анкерные штифты или литая разборная вкладка.
Процедура восстановления зуба таким способом проводится всего в одно посещение врача. Для восстановления корней также используются неметаллические (стекловолоконные) штифты. Их преимуществами является отсутствие в составе металла, уменьшение риска перелома корня восстановленного зуба. Если планируется восстановить зуб без коронки, но с использованием светоотверждаемого материала, лучше выбрать такой вид штифтов.











