Нельзя недооценивать роль красивой улыбки в становлении личности, усвоении навыков коммуникации, наконец, в формировании самооценки человека.
Состояние зубов и их внешний вид являются показателем здоровья, а красота улыбки говорит об открытости и привлекательности.
Если в процессе формирования зубов у ребенка наблюдаются отклонения, важно своевременно проконсультироваться со стоматологом по поводу установки корректирующих систем. Что нужно знать о брекетах? Со скольки лет можно ставить брекеты ребенку и как проводится процесс установки?
Показания к установке брекет-системы
Стоматологи рекомендуют пациентам ношение брекетов, если у них:
- Неправильный прикус.
- Большие промежутки между зубками.
- Скученные зубы.
- Нижняя и верхняя челюсти развиваются несогласованно.
- Один или несколько зубов имеют неправильное положение и форму.
- Имеются проблемы с жевательной функцией.
При повышенной вероятности возникновения дефектов зубочелюстного аппарата родители должны заранее проявить особое внимание к формированию коренных зубов ребенка. Риск развития ортодонтических аномалий у детей повышается в таких случаях:
- При наличии подобных проблем у родителей или близких родственников.
- При нарушенном обмене веществ.
- При заболеваниях ЦНС.
- При искривлении позвоночника и других заболеваниях опорно-двигательной системы.
- Если у ребенка часто развивается простуда и заложенность носа.
- При длительном использовании пустышек, бутылочек с соской и при наличии привычки сосать пальцы – все эти факторы негативно сказываются на формировании правильного прикуса.
Кому нельзя ставить брекеты
Некоторые пациенты, интересующиеся у стоматолога, до скольки лет можно поставить брекеты, с огорчением узнают, что им вовсе противопоказана эта процедура. Такое решение ортодонт принимает, если у человека выявлено одно из следующих заболеваний:
- Сахарный диабет.
- Пародонтит.
- Пародонтоз.
- Гематологическая болезнь.
- Онкологическое новообразование.
При наличии бронхиальной астмы, ревматоидного артрита, низкой свертываемости крови брекеты на зубы ставят, но в течение нескольких лет, пока будет длиться коррекция, придется регулярно наблюдаться у врачей и проходить контрольные обследования.
Почему нужно устранять дефекты прикуса
При наличии неправильного прикуса или отдельных кривых зубов могут проявляться следующие неудобства и дефекты:
- Нечленораздельная речь.
- Неполноценное пережевывание пищи, приводящее к нарушению функциональности пищеварительного тракта.
- Частая головная боль.
- Психологические проблемы из-за повышенного внимания окружающих к искривленному зубному ряду.
При обнаружении ортодонтических проблем у малыша нельзя откладывать визит к ортодонту. Врач оценит сложность дефекта и проконсультирует, с какого возраста ставят брекеты на зубы детям при такой патологии, и сколько их нужно носить до ее полного исправления.
Диагностика и выбор конструкции
Перед установкой брекетов ортодонт тщательно изучает анатомические особенности челюстей. Необходимо учесть состояние зубного ряда, мышц в полости рта, распределение нагрузки на отдельные участки челюсти. Только после этого принимается решение о том, какую конструкцию лучше поставить конкретному пациенту. Существуют разные брекет-системы:
| Виды брекетов | Во сколько лет такие брекеты ставят ребенку или взрослому | Особенности брекет-системы |
| Металлические | Любой возраст, который подходит для коррекции зубного ряда. | Самая дешевая и быстродействующая конструкция, которая исправляет даже сложные дефекты зубочелюстного аппарата. Она прочная, долговечная, но обладает низкими эстетическими качествами. |
| Сапфировые | Больше подходят для коррекции зубного ряда молодых людей. | Поверхность брекетов более прозрачная, благодаря чему они менее заметны во рту. Конструкция дорогая, но она не может исправить сложные дефекты. |
| Керамические | Больше подходят для коррекции зубочелюстного аппарата у взрослых. | Матовая поверхность керамических брекетов лучше смотрится на матовой эмали взрослых людей. Это самый популярный тип брекетов, но сложные дефекты они не исправляют. |
| Лингвальные | Ставятся в любом возрасте, но только при достижении необходимой длины зубов. | Самые дорогие и наименее заметные конструкции. Они сильно искажают дикцию, требуют длительного периода адаптации и не исправляют сложные дефекты. |
Ценовой фактор
Рассмотрим средние цены на брекет-системы в Москве. Лингвальные и сапфировые ортодонтические конструкции являются самыми дорогостоящими.
| Тип устройств | Цена коррекции одной челюсти (руб) |
| Вестибулярные | От 20000 до 40000 |
| Лингвальные | От 40000 до 200000 |
| Саморегулирующиеся | От 50000 |
| Лигатурные | До 30000 |
| Керамические | От 40000 до 100000 |
| Металлические | От 8000 |
| Сапфировые | От 70000 до 90000 |
При постановке определенной системы учитываются не только особенности патологии прикуса, но и пожелания самого пациента, его финансовые возможности.
С какого возраста можно ставить брекеты ребенку
Заниматься выравниванием детских зубов рекомендуется, когда малышу исполнится семь лет. Существуют критерии, которые помогают определить, когда можно ставить брекеты ребенку:
- Наличие коренных верхних резцов (по другим данным – вторых моляров).
- Длина зубов, достаточная для установки брекетов.
- Достаточная прочность эмали.
Маленькому ребенку можно поставить съемные трейнеры, которые исправят патологию лишь частично. А когда малыш подрастет, можно сменить их на брекеты, которые улучшат и закрепят достигнутый эффект.
Во сколько лет и до какого возраста лучше ставить брекеты
Стоматологи имеют разные взгляды на оптимальный для ортодонтического лечения возраст . Одни ортодонты рекомендуют установку брекетов в наиболее раннем возрасте, другие советуют подождать. Каждый индивидуальный случай требует отдельного рассмотрения, решение зависит от нескольких факторов:
- Состояние организма и уровень физического развития.
- Разновидность дефекта прикуса.
- Количество неправильно расположенных зубов.
- Состояние эмалевого слоя.
При слишком ранней установке ортодонтическая конструкция способна негативно повлиять на эмаль и даже привести к рассасыванию корней, из-за чего ребенок может потерять коренные зубы. Поэтому в стоматологии распространено мнение о том, что брекеты лучше ставить примерно с 13 лет и до наступления совершеннолетия. Именно в этот период зубки обладают податливостью, нужной для эффективного и быстрого выравнивания, и весьма крепки для выдерживания нагрузки конструкции.
Слово несчастному ребенку, но счастливому взрослому
Можно найти очень много интересных историй на форумах где взрослые люди делятся своим опытом ношения брекетов.
«В детстве я носила брекеты, мне было 12 лет и я ужасно стеснялась улыбаться и смеяться, ведь у меня были простые „металлические“. Но время прошло очень быстро. Я привыкла к брекетам, и одноклассники перестали обращать на них внимание. После того, как врач их снял — зубки стали очень ровные и красивые, даже как-то непривычно. Первое время зубы были очень чувствительными, но потом это прошло. Сейчас мне 36 лет, у меня красивая улыбка. Я очень благодарна своим родителям, что они поставили мне брекеты в детском возрасте. Благодаря им я научилась тщательно чистить зубы».
В каком возрасте можно ставить брекеты взрослому
Иногда конструкцию для коррекции зубного ряда приходится установить во взрослом возрасте. Процесс выравнивания зубов взрослых людей имеет свои особенности:
- Сформированный зубной ряд обладает меньшей податливостью, поэтому процесс выравнивания занимает больше времени и причиняет более ощутимый дискомфорт.
- Для выпрямления зубного ряда у детей могут использоваться разные типы съемных конструкций, в том числе капы. Взрослым приходится выравнивать зубы только с помощью несъемных конструкций – брекетов.
- Иногда взрослым нужно удалить один зуб для того, чтобы устранить кривизну всех остальных. На полностью сформированной челюсти меньше места для изменения формы зубного ряда.
До скольки лет можно ставить брекеты взрослому человеку – вопрос, не имеющий однозначного ответа. Все зависит от анатомических особенностей зубочелюстного аппарата и здоровья человека, так как при наличии некоторых заболеваний и при неудовлетворительном состоянии зубов ортодонт не возьмется за исправление дефекта.
Длительность лечения у детей
Механизм выравнивания прикуса одинаков для детей и взрослых. Однако в ортодонтическом лечении пациентов старше 25 лет есть особенности:
- Длительность терапии увеличивается в 2 раза. Если дети носят брекеты в среднем 1 – 1,5 года, то взрослые – от 2 до 3 лет. Связано это с тем, что после 25 лет скелет сформирован полностью, снижается естественная подвижность зубов, костные ткани менее податливы.
- Продолжительный ретинционный период. После основного курса лечения необходимо установить ретейнер, чтобы предотвратить повторное смещение зубов. У пациентов старше 25 он длится не менее 5 лет, а в некоторых случаях показана пожизненная терапия.
- Оптимальный вариант – металлические брекеты. Они наиболее прочные, надежные, выдерживают большое давление, которое оказывает силовая дуга на постоянные зубы.
- Значимость эстетического фактора. Публичным людям важно сохранить в тайне ортодонтическое лечение, сделать его максимально незаметным. Помочь могут невидимые брекеты: керамические по цвету совпадают с оттенком эмали или сделаны из прозрачного материала, а лингвальные располагаются с внутренней стороны зубов. В качестве альтернативы используют невидимые ортодонтические каппы из силикона. Правда, одновременно с эстетичностью в 2 – 3 раза возрастает цена лечения.Длительность коррекции прикуса у взрослых увеличивается в 2 раза.
Нет возрастного предела, до которого можно выравнивать прикус. Ортодонтическое лечение одинаково успешно проводят у детей, взрослых и пожилых людей. Разнится только тип конструкции и продолжительность терапии.
Если рассматривать статистику лечения брекет-системой, то можно отметить большую разницу в сроках достижения необходимого результата. В одних случаях он составляет около 6 месяцев, в других 2 года и более. Все зависит от некоторых факторов, заранее определяющих примерный период лечения.
При едва заметных нарушениях формирования зубного ряда, результат, может быть, достигнут, через 8 месяцев ношения.
Если у пациента наблюдаются аномалии 2 или 3 класса, то лечение может продлиться 3 года, так как в этом случае приходится подвергать исправлению не только зубы, но и всю челюстную дугу.
Кроме этого, после лечения сложных патологий, потребуется длительный закрепляющий период, сроком до 6 лет.
К тяжелым аномалиям относятся:
- выраженное недоразвитие нижней или верхней челюсти;
- отсутствие полного смыкания зубных рядов в боковом и переднем отделе;
- значительное перекрывание нижних коронок верхними, при этом челюсти имеют одинаковое развитие;
- при плотном смыкании зубов, наблюдается перекрещивание резцов.
Сильная скученность зубов, требующая удаления единичной коронки. Данная процедура, в некоторых случаях является обязательной, так как при тесном расположении коронок брекеты не смогут расширить зубной ряд. Срок лечения после этого увеличивается как минимум на 6 месяцев.
Более быстрый результат наблюдался у пациентов, уделяющих здоровью ротовой полости особое внимание. При отсутствии заболеваний пародонта и проблем с челюстной костью лечение составляло до 1,5 лет.
Выровнять коронки с помощью данной системы, возможно в любом возрасте, но чем старше человек, тем длительней будет проходить коррекция. Для детей до 14 лет этот период составляет 1 год. Взрослому человеку стоит приготовиться к долгому лечению, средней протяженностью 2 года.
При правильной постановке брекетов и слабовыраженной патологии, положительного результата можно достичь уже через 3 месяца. Но на данном этапе, категорически запрещается снимать систему, иначе зубы примут свое начальное положение.
Лечение брекетами у взрослых – весьма длительный процесс, продолжающийся до 3 лет. Это обусловлено некоторыми возрастными особенностями.
Скорость лечения несъемной конструкцией у детей зависит напрямую от своевременности обращения. Максимум быстрого результата можно добиться при установке системы ребенку до 13 лет.
В это время период сменного прикуса практически закончен, и челюстная система замедляет свой рост. Срок такого лечения обычно составляет 1 год и меньше. При установке надо учитывать наличие вторых постоянных моляров. Если они прорежутся в период лечения, то процесс может затянуться еще минимум на 8 месяцев.
В случае, когда ребенок в период молочного, а также сменного раннего прикуса носил съемные ортодонтические конструкции, лечение данной системой сокращается почти в 2 раза.
Общий период ношения конструкции у детей, в среднем на 8 месяцев меньше чем у взрослых. Ретенционный период, также значительно отличается и составляет до 2 лет.
При установке брекетов, стоматолог определяет лишь примерный срок лечения, который может значительно отличаться по итогу. При этом данный период не уменьшается, а только увеличивается.
На это может повлиять сразу несколько причин:
- Ортодонтическая дуга. От материала, который использовали для изготовления дуги, зависит сила давления на коронки. Чем жестче это элемент, тем быстрее будет проходить лечение.
Сейчас можно найти немало стоматологий, где обещают провести лечение брекетами за минимально короткие сроки, несоответствующие стандартам системы. К сожалению, подобные заявления являются всего лишь рекламным ходом.
В медицине давно доказано, что исправить положение коронок можно лишь в те сроки, которые указаны для используемой системы. Данный период можно растянуть, но никак не сократить.
Зуб имеет сформированное ложе из костной ткани. Чтобы изменить кость, требуется ежедневное, небольшое и целенаправленное усилие. Быстрое формирование другого ложа возможно только с помощью хирургического вмешательства.
Достаточно часто во взрослом возрасте лечение проходит с удалением зубов, когда нет места для их нормального расположения. Например, зарубежные специалисты очень часто меняют размеры челюстей оперативно, но у нас в стране, к сожалению, не распространена ортогнатическая хирургия, так как мотивировать наших пациентов на хирургическую операцию крайне сложно.
Если абстрагироваться от стоимости, то самые популярные брекет-системы для взрослых — лингвальные, которые изготавливаются индивидуально. Они достаточно комфортные: у брекетов нет никаких острых углов, которые цепляются и раздражают слизистую, пациенты к ним быстро адаптируются. Плюс они самые низкопрофильные, то есть близко расположены к поверхности зубов, благодаря чему нет проблем с дикцией.
На вопрос о том, сколько времени носят брекеты взрослые пациенты, нет однозначного ответа. Это может быть год, а то и два года. Практика многих специалистов доказала, что нельзя уговаривать пациентов выравнивать зубы, так как ортодонтическое лечение в любом случае — процесс длительный и трудоемкий. Человек должен сам хотеть этого, в противном случае быстро наступает усталость от лечения.
Подобные пациенты всегда задают только один вопрос: «Доктор, когда вы снимете брекеты?». Красивая улыбка их не так волнует. Очень важно, чтобы врач рационально подошел к планированию лечения — нашел компромисс между тем, что хочет он и тем, что желает получить в итоге пациент. Когда врач стремится достигнуть идеального результата, и ради этого мучает человека три года, никто не оценит его стараний.
Установка брекетов и процесс коррекции зубного ряда
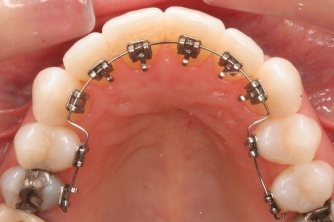
Подготовительный этап установки брекет-системы включает общее обследование, санацию полости рта, создание слепка челюсти, по которому будет изготовлена конструкция. Готовую брекет-систему устанавливают следующим образом: сперва к зубам крепятся брекеты, затем в расположенные на их поверхности пазы вставляется дуга. Процедура безболезненна.
Привыкание к брекет-системе длится около 3–5 дней. В этот период возможны неприятные ощущения в ротовой полости, нечеткая речь, дискомфорт от присутствия постороннего предмета во рту.
Длительность ношения брекетов индивидуальна. Она зависит от степени податливости зубов и сложности нарушения прикуса. Этот процесс может занять от нескольких месяцев до 3 и более лет.
Детям брекеты ставят на зубы в возрасте 5 и более лет, а взрослым – до того момента, пока их зубы остаются здоровыми. Но оптимальный возраст для достижения лучшего результата по исправлению дефектов зубочелюстного аппарата – подростковый: с 13 до 18 лет. Поэтому ответственность за состояние зубного ряда ребенка лежит на родителях, которые должны вовремя заметить и исправить развивающийся у него дефект.




